歯がない無歯顎症例におけるインプラント治療の注意点や特徴をDr.新谷悟が解説します。
- 歯を失った原因が歯周病か虫歯から根尖性歯周炎を併発したものかを確認し、骨の高径や幅など残存骨の形態、骨質などを十分に把握する
- CT画像と口腔内模型のマッチングにおいても粘膜面でずれを生じやすいため、義歯などにマーカーを付与してCTを取るなど細心の注意を払う
- 手術時のサージカルガイドの固定をどのようにするか。必要であればピン固定などで対応する
- 顎提と可動粘膜の関係から切開するか否かを診断の時にもある程度把握しておく
- All on 4(4本で義歯を固定する)や義歯を2本のインプラントで固定するか、ブリッジタイプや単独歯などの形でインプラント治療をするかによっても、埋入位置、選択すべきインプラントなども変わるので、それらの要素を考慮して診断を行う
- 粘膜切開を行うか否か、顎提、粘膜負担でのサージカルガイドをいかに安定させ、診断のインプラント埋入位置に正確に埋入するかを考えて手術を行う。場合によっては、ガイドによってインプラント窩を形成後、それに沿ってガイドを外すほうが良好な結果を得られる場合もある
- サージカルガイドの固定のための固定ピン以外にも、ドリリングをしたインプラント窩にピンを立て、より安定した形で次のドリリングを行うなどの工夫も重要になる
- サイナスリフトやソケットリフトなどの骨造成を同時に行わないといけない症例も多く、技術的にも高度になるため、決して無理をしないようにする
- 切開を行わないフラップレスの場合には、骨の高径だけではなく近遠心的、唇・頬・口蓋(舌)側的な位置関係が正しいかどうか、周囲に骨があるかどうかを十分に確認しながら行う
こういった点を留意したい。
- 無歯顎症例
-
- 下顎の無歯顎ケース
- 右側小臼歯部から前歯ならびに左側の臼歯部にわたる欠損症例症例ケース01 (2017.11.06 - Data up)
- ※ページ内の項目部分に移動します
(60歳代 男性)
下顎前歯ならびに左側臼歯部にインプラント補綴を他院で受けていたが次々にインプラントが抜け落ち、治療は無理といわれて義歯を入れている。残った2本の自分の歯もぐらぐらしてきて、入れ歯で食事ができなくなってしまったということで、どうにかもう一度インプラント治療できないかと当クリニックを受診されました。
右側臼歯部のインプラント補綴も、インプラント体の周囲が吸収していますが、どうにか動揺して脱落するまでは使いたいとのことで温存することにしました。
右側の第1,第2小臼歯(#41,42)は歯周病と根尖性歯周病で動揺しており、保存不可とお話ししました。
抜歯後1か月でインプラント埋入手術、その後2か月で粘膜を再生する手術、そしてその後2か月で最終的な補綴物が入り、インプラントによって噛むことと話すことなどが問題なくできるようになったことを喜んでいただけました。
インプラント埋入から2か月後、インプラント周囲に歯槽提の固有歯肉を作成するために粘膜再生の手術を行った。口蓋より口蓋粘膜を移植することも考えたが、患者さんの負担が増えることと広範囲であり口蓋の粘膜をかなり広範囲で切除しないといけなくなることから、吸収性ポリグリコール酸フェルト ネオベール シートタイプ ネオベール(GUNZE)とベリプラスト 血漿分画製剤(生理的組織接着剤) フィブリノゲン加第XIII因子 を用いた再生法を選択した。なお、ペリプラストは血液製剤になるのでその旨、患者さんに説明し、十分な同意を得た上で使用した。
歯槽提の固有歯肉を作成するために粘膜再生手術。ヒーリングアバットメントを装着してネオベールとベリプラスト を付与している。
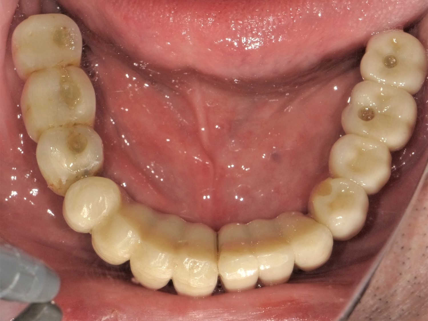
最終補綴物装着時の口腔内所見
もともとの歯周病と前医のインプラント治療の不成功で骨が非常に吸収し、インプラント体の埋入もさることながら、粘膜の取り扱い、特にインプラント周囲への固有粘膜あるいは瘢痕用組織を再生させるのが非常に大きなポイントであったと思われる。上部構造(歯の部分)も歯肉部を含めて作成するため高さが高くなることから工夫が必要であった。
非常に大きな欠損症例であり、かつ地方から飛行機で当クリニックに通っていただきました。上顎も前医で入れたインプラントが脱落するなど問題があり、今後も治療していく予定である。インプラント治療医にとって必要なのは、一生、その方の口にとどまり機能するインプラント治療のために日々、研鑽すべきであり、その自信がなければ安易に行ってはいけないことである。インプラント治療を行った患者さんがその医療施設に来なくなるのは成功してメンテナンスに来ないのではなく、当該医療機関で失敗されたから来ないとこもあることを十分に考えなくてはならない。


お気軽にご相談ください
カウンセリング相談・インプラント歯科治療の仮予約やお問い合せ