骨不足で骨造成したサイナスリフト症例におけるインプラント治療の注意点や特徴をDr.新谷悟が解説します。
- 明記しておきたいのは、ほぼすべての症例で一回法によるインプラント埋入同時手術が可能であるということである。さらに、2mm以上の骨があれば1回法での手術も可能である。1回法の利点としては、インプラント体の骨へのインテグレ-ションをヒ-リングアバットメントを通して確認できることである。このことを前提に診断したい
- CTならびに理想的な埋入位置から骨の高径や幅など残存骨の形態、骨質などを十分に把握する。幅のある症例では、より直径の大きいインプラントを選択するが、万が一、ロスとした時にリカバ-できるように、最大径より1-2サイズ小さめのものを選択することも考慮する
- サイナスリフトに際して上顎洞の側壁の開窓部位の大きさ、上後歯槽動静脈の走行をCTで把握して診断しておく。さらに洞底が平坦か傾斜しているか、隔壁があるかなどを近遠心的もしくは、頬口蓋的に観察して手術手技を想定する
- 初心者は、必ず熟練した外科医の指導下で10例以上行ってから、行う。術後の上顎洞炎やリカバリ-が出来ないものは行うべきではない
- 切開線はインプラントの埋入部位を考慮して決定する、その時にサ-ジカルガイドは有用である
- 切開、粘膜骨膜弁の剥離は、骨膜まで切開を加えること、骨面を擦るように剥離すること、雑布法を応用することなどはポイントである
- 上顎洞の範囲が透けて見える症例では、開窓部位の決定は比較的容易であるが、側壁の骨が厚い場合に残存歯の歯根の位置や方向などを参考に決定する。実際に計測して行うことも有用である
- 開窓にはピエゾサ-ジェリ-が応用されるべきであることは、言うまでもないが、過信せず、慎重に行わないとシュナイダ-膜を損傷することになる。剥離子でシュナイダ-膜を挙上する場合にも、骨面を擦るように愛護的に行う
- 粘膜挙上後、インプラントのドリリングで損傷しない様に人工骨などで粘膜を上方に固定する工夫も大切である
- サイナスリフトの人工骨に対する血流は内側である鼻腔側から供給さえるので内面を十分に剥離する
- インプラント埋入トルクを鑑み、ヒ-リングアバットメントかワイドカバ-スクリュ-化を決定する。縫合は丁寧に行う
こういった点を留意したい。下記にわかりやすく補足資料を提示いたします。
- 骨不足で骨造成したサイナスリフト症例
-
- 上顎サイナスリフト症例ケース
- 右側第一、第二大臼歯部欠損症例ケース03
※2017.11.16 - Data up - 左側上顎第1大臼歯部欠損症例ケース02
※2017.11.07 - Data up - 左側第2小臼歯、第1,2大臼歯部の歯牙破折など症例ケース01
※2017.10.17 - Data up - ※ページ内の項目部分に移動します
- 他のサイナスリフトインプラント症例を見てみる
-
- 上顎サイナスリフト症例ケース
- 右側上顎第1大臼歯部欠損症例ケース06
※2018.08.27 - Data up - 右側上顎第1大臼歯部欠損症例ケース05
※2018.08.10 - Data up - 左側上顎第1,2大臼歯部欠損症例ケース04
※2018.06.29 - Data up - ※外部サイトの新谷悟の歯科口腔外科塾の項目部分に移動します
(50歳代 男性)
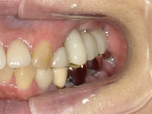
最終補綴物装着時の口腔内所見
他院では、骨がなく、インプラントはできないといわれたことで患者自体が非常にコンプレックスに近いものを感じておられました。「骨がないからインプラントができない」との一言が、患者さんにとっては自分はほかの人と違って・・・と考えるきっかけにもなる。東洋人は上顎洞が発達していること。サイナスリフト自体も経験豊富な治療医にとっては安全な治療ということを理解していただくことも大切であると思われた。
術後は良く噛めて機能面も十分に回復でき、患者さん自身も非常に喜ばれていました。他の不良補綴物や対側のインプラント治療も今後、行っていきたいとのことで、ともに【よりよい】口腔内を作っていきましょうとお互いにお話しをしています。サイナスリフトは、安易に初心者がチャレンジするものではないことから、そのような症例は専門医に任せることも重要かと思います。
(30歳代 女性)
(60歳代 女性)
POI EXインプラント(京セラ) HA Tapered Bone level (カラーM) 埋入サイズ:直径4.2mm/長さ10mmを#25部位に埋入している。この時点ではガイドを用いたドリリングの後にフリーハンドで埋入を行っており、計画と若干のずれを生じる。現在の形になるまでの過渡期の症例である。
POI EXインプラント(京セラ)HA Tapered Bone level (カラーM) 埋入サイズ:直径4.7mm/長さ10mmを#27部位に埋入している。
#26部位にはすでにHA Tapered Bone level (カラーM) 埋入サイズ:直径4.2mm/長さ10mmが埋入されている。上顎洞の厚みがないことから、#15,17は1回法であるが、#26では2回法を選択している。上顎洞への脱落を防ぐためインプラント径より1mm大きいワイドカバーを装着している。この時点ではガイドを用いたドリリングの後にフリーハンドで埋入を行っており、計画と若干のずれを生じる。現在の形になるまでの過渡期の症例である。
最終補綴物装着時の口腔内所見
サイナスリフトを単独に行い、その後骨ができてからインプラント埋入手術を選択する術者も多いが、慎重に行えばワイドカバーなどを使うことで治療期間の短縮が可能となる。患者さんにとってはやはり、安全であれば早く、上部構造を入れて噛めるようにすることが重要である。その点では、同時埋入を積極的に行うことは良いと思うが、未熟な術者がサイナスリフト自体をするべきではないということを明記したい。
術後は良く噛めて機能面も十分に回復でき、患者さん自身も非常に喜ばれていました。他の不良補綴物や対側のインプラント治療も今後、行っていきたいとのことで、良かったと思っている。


お気軽にご相談ください
カウンセリング相談・インプラント歯科治療の仮予約やお問い合せ